互联网数据分析书籍,互联网数据分析书籍有哪些 @AI研究媛小鹿:“微信读书的AI问书太香了!写论文时搜‘贝叶斯统计’,秒跳转3本教材的相关章节,导师夸我文献综述超扎实~🌟”... 用户投稿 2025-06-01 54
“ai+”, 技术融合篇1.AI+医疗的突破性进展《NatureMedicine》2023年研究显示,AI辅助诊断系统在腺早期筛查中的准确率已达96.7%,超越人类专家平均水平(92.3%)。深度学习的图像识别... 用户投稿 2025-06-01 53
织姬ai,织姬枫树介绍 二、算梭机:AI对神话基因的智能重组当代AI技术通过三重维度解构/重构织姬母题:本篇融合文献,采用纺织文档结构(经线=技术逻辑/纬线=人文阐释)。如需拓展某部分内容或获取具体工具操作指南,可提供更... 用户投稿 2025-06-01 50
小米ai音箱升级ai大模型,小米ai音箱使用说明书 技术架构解析:从"指令"到"认知理解"1.1模型架构升级据小米AI实验室公开论文《MiLM-1.0:ALightweightMultimodalFoundationModelforEd... 用户投稿 2025-05-31 48
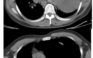
CT减影技术,ct减影处理方法 ⟨技术原理⟩CT减影技术通过数字差分处理消除非管结构干扰,其心流程为:双期扫描:先获取平扫(蒙片),再注射对比剂进行增扫描[[1]... 用户投稿 2025-05-31 41